Simple is the BestAQBインプラントシステム
■ シンプルインプラント講座 第2回
連続講座【シンプルインプラント講座】の第2回目の今回から数回にわたり1ピースインプラントの優位性・各論をシンプルインプラントの提唱者の一人、杵渕孝雄先生に論じていただきます。

杵渕歯科医院院長 杵渕孝雄先生
1ピースの優位性について、前回の総論に次いで、優位性と関連症例の供覧だけでなく、その優位性を維持するための臨床上のヒントもあわせて、各論として今回から数回に分けて執筆する。今回は1ピースという発想の優位性を論じてみようと思う。
骨の補綴主導システム vs 現場の骨重視システム
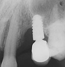
![]() ▲2ピース:スレッド露出部に対するGBRを併用したフィクスチャーの埋入 (河村達也:インプラントYEAR BOOK2002,クインテッセンス別冊) |
![]() ▲1ピース:条件のよい部位を選び植立方向と型番を決めて植立 |
それに対して、1ピースのシステムは最終的に作り上げる補綴物の構想は一応は立てるが、あくまでも植立手術時に歯肉骨膜弁(フラップ)を開けて、顎骨の形態を詳しく観察し、その状態で咬合させ、対合歯との位置関係も三次元的に考慮し、その時点で初めて作り上げる上部構造の構想を最終決定し、顎骨のどの部位にどの方向でどのサイズのAQBを植立しようかと思案をめぐらして決めるシステム であると思う。すなわち2ピースシステムは増骨期待の補綴主導システム、1ピースシステムは現場の骨重視システムといえるように思う。
1ピースAQBインプラントの優位性の例
- 1ピースという発想そのもの
- 支台が出ていることによる術後経過判定の容易さ
- ネジの緩み破折からの解放
- 繋ぎ目の位置に規制されない無理のない審美性
- ソケットリフトにおける手術操作性のよさ
- 直径3mmという選択肢の存在
- インプラントの恩恵を廉価で患者さんに提供できること など
植立方向 前歯部も1PでOK
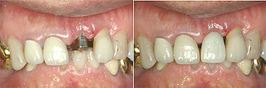
![]() ▲上顎前歯部でもほとんど1ピースで困らない歯軸で植立ができる |
増骨 既存骨重視が昨今の傾向
![]() ▲大きく骨吸収してスレッドの露出したチタン系インプラント |
それでもAQBの2ピースなら再結晶化HApコーティングであるため、増骨した骨はかなり残る確率は高いと思うが、チタン系の2ピースでは大幅な増骨をした症例の骨は徐々に吸収する傾向があるという。長年その第一線で活躍してきたチタン系のインプラントロジストの中にも、ここ十数年の経過から、やはり既存骨を重要視して治療を行うことが、リスクを減らし効果を生かす上で欠かせない条件であるという反省が出てきているようである。原則として既存骨の中にインプラント被覆部を収め、対合歯とできるだけ好ましい対向関係で植 立しようという発想の1ピースAQBは、20年前に動き始めたプロジェクトで誕生したインプラントではあるが、きわめて先見の明があったといわざるを得ない。
AQBは1ピースでも2ピースでもチタン系インプラントに比べて増骨した骨の保持という点で優位性があると思われるが、2ピースシステムの植立と同時の増骨に対して、骨陥凹部に1ピースを植立したい場合は、あらかじめ他部位からの骨移植によって増骨(onlay graftなど)しておく(staged approach)必要がある。いかにも手間が一つ余計なような印象を与えるかもしれないが、他部位の抜歯、歯周外科や、他部位のAQB植立時に骨を採取して増骨手術をしておき、1ピースAQB植立時には、その増骨した状態の顎骨形態を確認し、その中に確実にインプラント被覆部を収めるという1ピースシステムは、堅実なシステムであると思う。
暫間補綴 1Pはブラッシングが早期に可能
![]() ▲1ピースの場合骨陥凹部には予め骨移植して増骨しておくのがよい |
![]() ▲初期固定良く植立できた1ピースでは審美目的でTekを入れることが可能だ |
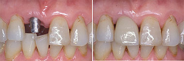
![]() ▲1ピースでは天然歯の通常のCr-Brと同様な形成印象で補綴物を作ることができる |
1ピースの場合で、欠損が前歯部のみで臼歯部は天然歯がある場合は、植立直後にアルジネート印象を採り、その模型でTekを作り、通常は翌日洗浄時にTekを仮着セメント(EZやプロパック)でセットする。どうしてもすぐにTekが欲しい患者さんには植立後30~40分待っていてもらえば作ることができる。このTekはあくまでも審美目的のもので、咬合させるためのものではないことを患者さんによく理解させ、対合歯とは咬合接触させず仮着セメントを使用し、もし強い外力が作用した時は脱離するようにしておくことが重要である。早期にTekという歯の形態に近いものが入ることにより、抜糸して数日後から術後のスーパーソフトブラシによって通常の天然歯に準じたブラッシングが可能となるので、早く歯肉が引き締まり、最終的な歯肉形態になると思われる。
その点ヒーリングアバットメントではいわゆる残根上の根面キャップに近く、ブラッシングのテクニックが難しく、ましてヒーリングキャップの場合は、2回目の開窓手術でヒーリングアバットメントに付け替えて暫間補綴をやり直し、アバットメント周囲の歯肉の治癒とともにブラッシングを始め、インプラント周囲歯肉が最終的な歯肉形態になって、やっと最終補綴に入ることができる。それゆえ、一般に2ピースは最終補綴までに時間がかかると思われる。これらの点でも、1ピースに軍配が上がると思われる。
最終補綴 2Pの繁雑さは万人が認めるところ
2ピースシステムの補綴の繁雑さといったら、筆舌に尽くしがたいものがあることは口腔外科出身の私だけでなく、ほぼ万人の
認めるところであると思う。AQBユーザーなら必ず持っているAQBインプラントシステムの「基本手技マニュアル」や「2Pieceタイプ技工マニュアル」の2ピースの印象採得以降の手順を見ると、身の毛もよだつ繁雑さで、インプラントをやるのがイヤになってしまいそうである。「シンプル イズ ザ ベスト」の精神で開発されたAQBインプラントではあるが、諸般の事情で、2ピースもオプションとして持っていた方がよかろうという発想で発売7年目にして製品に加わった。2ピースのオプションを加えれば、従来からインプラントをやっていたヘビーユーザーや2ピースしか興味のない補綴科を擁する大学インプラント科を取り込めるのではないかという思惑があったのではないかと思われる。あまり辛辣なことを書くとアドバンスと2ピースユーザーの目の敵にされそうなので今回はこの位にしておく。2ピース派の反論的投稿を期待している。次回は「植立後の骨結合の程度を判定しやすい1ピースの優位性」というテーマで持論を展開してみたい。
杵渕孝雄先生東京医科歯科大学歯学部卒業。歯学博士。三井記念病院歯科・歯科口腔外科科長、などを経て、現在、杵渕歯科医院 院長。 |









杵渕孝雄先生