Simple is the BestAQBインプラントシステム
■ シンプルインプラント講座 第2回
連続講座【シンプルインプラント講座】の第3回目の今回は、1ピースインプラントの優位性・各論をシンプルインプラントの提唱者の一人、杵渕孝雄先生に、骨結合の程度は1ピースと2ピース、どちらが判断しやすいか、臨床上のヒントを交えながら論じていただきます。

杵渕歯科医院院長 杵渕孝雄先生
1ピースの優位性について1回目の「総論」、2回目の「2ピースシステムと比べた1ピースの発想上の優位性」に次いで、今回は「植立後の骨結合の程度を判定しやすい1ピースの優位性」というテーマで持論を展開してみようと思う。また、その優位性を維持するための臨床上のヒントも、紙面の許す限り網羅してみるつもりである。
植立後の骨結合の程度を判定しやすい1ピースの優位性
再結晶化HApコーティングはアパタイトの純度がきわめて高く骨伝導性に優れ、短期間に骨結合することはご存知の通りである。それゆえチタン系インプラントのように、わざわざ2ピースにして骨接合を待つ必要がもともとないのではないかと私自身思っている。ただ1ピースでは初めから支台部が口腔内に露出しているので、それ相応の注意すべき点はあるが、支台部は植立されたインプラントの状態をよく反映しているので、得られる情報は多いと思う。
初期固定の良否と補綴時期
![]() ▲植立時の嵌入圧は「きつからず、緩からず」がよい |
![]() ▲植立1ヵ月後には新生海綿骨、2ヵ月後に成熟過程に入るので補綴は慌てず |
術後の骨結合度の判定
![]() ▲骨植の嵌合度や骨癒着度の判定には歯科用ピンセットの頭で、打診音を聞くのがよい |
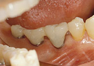
![]() ▲自然に骨結合しにくいと判断した場合、連結コーピングで動かない環境を作ってやることが重要 |
支台部は治癒のバロメーター
これは1ピースは最初から支台部分が口腔内に露出しているため、術直後の感染や咬合に由来した外傷にさらされる危険性と引き替えに、治癒や骨結合度の判定がしやすいという優位性を獲得しているといえるのではなかろうか。なお、術直後の感染や外傷にさらされる危険性といっても、口腔粘膜は基本的に治癒が良く、支台部が最初から口腔内に露出していても感染を起こすことはむしろ稀であることは皆さんもご存知の通りである。 植立後の治癒に影響する要因はいろいろあるが、特に血行の良否は重要な要因である。植立部の顎骨と粘膜が健康で、そこにAQBがきつ過ぎず、すなわち血行を障害せず、デッドスペースもなく植立されれば、基本的に治癒は順調に進むはずである。ただし、喫煙習慣があったり、もともとその局所が慢性硬化性骨炎のように血行の悪い環境にあるような場合、植立後のトラブルを起こすことがあり、これは1ピース、2ピースの共通の大きなテーマなので、別の機会に述べることにする。
初期固定が悪く多少動揺する場合の工夫
インプラント窩の形成途中で穴の径が大きくなって初期固定が悪くなり、植立した時点で多少動揺することがある。しかし、工夫次第で3,4週間で骨結合してくることが多い。その工夫を以下にまとめてみる。
1.外力にさらされにくい工夫
単独植立の場合、クリアランスを十分確保する。試適ガイドで植立の型番を選択するとき、初期固定が悪く動揺が予想される場合は、できるだけ支台の短いものを選ぶことが重要。また、植立後は冠の維持に必要な最小限の支台の高さを残して支台を除去用バーで削除する。
2.動揺防止のため固定して骨結合を促進させる工夫
1)複数本植立の場合: 初期固定の良いAQBの支台部を固定源として、レジン連結コーピング(連結冠やブリッジ)で固定する。これは植立直後にアルジネート印象して次回装着固定ということになる。即効性が要求される場合、簡便法として初期固定の良いAQBと動揺しているAQBの双方の支台部を槍状の研磨用ダイヤモンドバーでツヤ消しにし、表面に光重合用ボンディング剤で安定したレジン皮膜を作り、即重レジン(ユニファストやプロビナイス)の筆積み法で連結固定する。
2)単独植立で近くに動揺のない隣在天然歯がある場合: 隣在天然歯の表面にエナメル質や象牙質があり、光重合用ボンディング剤で表面に安定したレジン皮膜を作れるなら、前述した簡便法で連結固定できる。隣在天然歯が全部被覆冠の場合、咬合面以外の大半の表面をツヤ消しにすれば、前述した簡便法で連結固定できる。メタルプライマーやポーセレンプライマーを使いシランカップリング処理してからボンディング剤を使えばより強固な接着が期待できる。
以上のように、1ピースの支台部は植立されたインプラントの状態をよく反映しており、また動揺が生じた時は、支台部を固定の手段として利用できるなど、1ピースの優位性の一つと考えられる。次回は「ネジの緩み破折からの解放」というテーマで1ピースの優位性の持論を展開してみたい。単独植立の場合、クリアランスを十分確保する。試適ガイドで植立の型番を選択するとき、初期固定が悪く動揺が予想される場合は、できるだけ支台の短いものを選ぶことが重要。また、植立後は冠の維持に必要な最小限の支台の高さを残して支台を除去用バーで削除する。
2.動揺防止のため固定して骨結合を促進させる工夫
![]() ![]() |
| ▲動揺防止で、即効性が要求される場合、光重合用ボンディング剤でレジン皮膜を作り、即重レジンの筆積み法で連結固定するとよい |
2)単独植立で近くに動揺のない隣在天然歯がある場合: 隣在天然歯の表面にエナメル質や象牙質があり、光重合用ボンディング剤で表面に安定したレジン皮膜を作れるなら、前述した簡便法で連結固定できる。隣在天然歯が全部被覆冠の場合、咬合面以外の大半の表面をツヤ消しにすれば、前述した簡便法で連結固定できる。メタルプライマーやポーセレンプライマーを使いシランカップリング処理してからボンディング剤を使えばより強固な接着が期待できる。
杵渕孝雄先生東京医科歯科大学歯学部卒業。歯学博士。三井記念病院歯科・歯科口腔外科科長、などを経て、現在、杵渕歯科医院 院長。 |








杵渕孝雄先生