Simple is the BestAQBインプラントシステム
■ シンプルインプラント講座 第9回
連続紙上講座【シンプルインプラント講座】も今回が最終回、第9回となりました。
今回はインプラントの優位性を語るとき、重要な要素を占める価格に注目し『インプラントの恩恵を広く国民に廉価で提供できる優位性』をお伝えします。
今回もシンプルインプラントの提唱者のお一人、杵渕孝雄先生に論を張っていただきます。

杵渕歯科医院院長 杵渕孝雄先生
1ピースの優位性についてこれまで左の通りに述べてきた。 今回は連載の最終回として「インプラントの恩恵を広く国民に廉価で提供できる優位性」というテーマで1ピースAQBの優位性を論じることにする。
MIの精神に反する従来の欠損補綴の原則
1本歯を失い中間欠損なら、両隣の歯でブリッジにするというのが従来の補綴学の原則で、何の迷いもなく長い間行われてきた治療法である。
しかし、これだけインプラントの治療成績が向上し、きわめて信頼に値する治療法として確立されてきた現在においては、1本欠損した時には、必ずしもブリッジだけでなく、インプラントも選択肢として患者さんに説明する義務がある時代になったと思う。
よく考えてみると、ブリッジは一般に両隣の歯を全部被覆冠として形成し、両隣に冠を被せ欠損部をポンティック(橋体)で補完する方法である。
その意味では両隣の歯に対する侵襲度が高く、10数年前から歯科界で声高に言われているMI(minimalintervention)の精神に反する治療で、将来は徐々にすたれていく治療法であると思う。
やはり歯はできるだけ必要最小限の削除量に留め、極力歯髄を保存することが歯を長持ちさせることであることは筆者の30数年の臨床で身をもって経験したことであり、MIが叫ばれるのはあまりにも遅すぎたとさえ思う。高額治療ではあるが、信頼に足る治療法として実証されたインプラント補綴
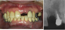
もし自分が酔っぱらって転倒し、上顎前歯を1本折って欠損になったとしたら、絶対にブリッジではなく、1ピースAQBを1本植立してもらい、メタルボンド冠で直そうと思う。
植立後約19年の症例を筆頭に多数のAQB長期経過症例のメインテナンスを日頃担当している筆者の診療所のスタッフも恐らく同じ選択をするであろう。
それ程欠損補綴で信頼に足るすばらしい治療法として臨床的に実証されているので、やはり広く国民にその恩恵を提供したいと思うわけである。
しかし、インプラント治療は自費診療で、将来的にも保険診療に入ることはあり得ず、現在その治療費は診療所によって異なるが相当高額な治療費であり、中にはべらぼうな治療費を取っている所もあるのが現状である。
新聞の健康特集記事によると、インプラント1本15万円~50万円と紹介されている。すなわちインプラント治療は富裕層のための治療法になっているのは否めない。日本人は近年口腔衛生思想が普及し、かかりつけ歯科医の指導による口腔清掃の徹底により、う蝕や歯周炎で歯を失う率は減少傾向にあり、8020運動の目標に少しずつ近づいている。 それゆえ、不幸にして失った数少ない歯に対しては、多少費用がかかってもブリッジや有床義歯ではなく、第二の永久歯であるインプラントで治療しようという機運は今後徐々に確立されて行くに違いない。 そのためには一般庶民に手の届く適正料金に設定し、世の中に広く浸透させたいと願うのは私だけであろうか?
これからのインプラント治療の適正料金の在り方(私見)
インプラントで治療する場合の適正料金の決め方として、従来のブリッジで治療する場合とほとんど同じくらいの価値を持っている(本当は両隣の歯を削らずに済むという遙かに高い価値があるのだが)ということで料金を決めることは一つの方法であると思う。
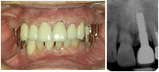
そこで、上顎中切歯が欠損し、欠損部にインプラントを植立してメタルボンド冠を装着する料金の算定として、両隣の歯を支台歯としてメタルボンドブリッジにする料金と同じくらいの料金設定にしてみることにする。
すなわち、メタルボンド冠が7~8万円として、ブリッジの場合全体で21~24万円ということになる。
それをインプラントとメタルボンド単冠で治療すると、インプラント植立料金として14~16万円となる。
これは1ピースAQBインプラントなら十分採算が取れるが、2ピースならかなり厳しいのではないかと思う。
料金が高額になるにつれ、患者さんにもそれなりの権利意識が高くなり、わずかのトラブル時にもクレームがつきやすくなり、その点適度な廉価であれば、そういったクレームを回避しやすいという効果も優位性といえるかもしれない。一般に大学病院インプラント科も含めて、インプラントを看板に掲げている診療所は私から見ると料金が高く、中には暴利をむさぼり過ぎていると思われる診療所もある。 しかし、ただ、その高額料金でも治療を受けたい患者さんが多いというのは、インプラントがいかに第二の永久歯に近い魅力的な治療法であるのかを立証もしていることは否定できない。
再植立の適正料金例
インプラント治療も100%の成功率はあり得ないので、その場合の再治療の料金体系も考慮しておく必要がある。
筆者の医院では、1994年の1ピースAQB発売時に、三井記念病院歯科口腔外科で決めた植立15万円、上部構造は金合金冠4万5千円、メタルボンド冠7万円という料金設定をいまだに維持している。
またAQB新聞No.16(2007年7月版)の3頁でも紹介したように、AQBの残存率は母集団1500本(植立間もないものから18年半までのもの)で、96~97%で、3~4%は抜去や脱落があることになる。
その再植立の料金であるが、一応補償期間は10年と考えているので、例えば5年後に再植立の場合には5割引、3年後に再植立なら7割引、8年後に再植立なら2割引でそれぞれ植立している。
また、上部構造もそれに準じた割引を実施している。1ピースAQBユーザーの中でも中位から安めの料金設定と思われるが、これでも歯科医院の経営が成り立っているわけであるから、ほぼ妥当な料金なのだと思う。
しかし、これは2ピースではなく1ピースAQBであるからこそ成せる業なのだと思う。このように廉価の設定ができるということは1ピースAQBの大きな優位性といえるのではなかろうか。結び
1ピースAQBインプラントの優位性について9回、1年半の長きにわたり連載してきた。
2~3回のつもりが、書き始めるとその優位性があるわあるわで、9回になってしまった。
一応これでこのテーマでの連載は閉じることにするが、日頃のAQB研修会で、1ピースAQBの臨床に関して口を酸っぱくして語っていること、手技向上に役立つ情報などをテーマに次号より新連載を開始することになった。
まずは本連載に関して、ご精読ありがとうございました。次回からは、杵渕先生の新連載が始まります。
|
|||||||||||||||||||
杵渕孝雄先生東京医科歯科大学歯学部卒業。歯学博士。三井記念病院歯科・歯科口腔外科科長、などを経て、現在、杵渕歯科医院 院長。 |







杵渕孝雄先生