Simple is the BestAQBインプラントシステム
■ シンプルインプラント講座 第5回
連続講座【シンプルインプラント講座】の第5回目の今回は、
「繋ぎ目の位置に規制されない無理のない審美性」と題して1ピースAQBの優位性を2回にわたってお伝えします。
今回もシンプルインプラントの提唱者のお一人、杵渕孝雄先生に臨床上のヒントを交えながら論じていただきます。

杵渕歯科医院院長 杵渕孝雄先生
今回は「繋ぎ目の位置に規制されない無理のない審美性」というテーマで1ピースAQBの優位性を論じることにする。
2ピース2回法インプラントの審美性
一般にインプラントのフィクスチャーの直径は天然歯の歯冠歯根移行部の直径よりかなり細いため、上部構造はいわゆるOver Contourにならざるを得ず、審美性と口腔清掃性の両者でハンディを背負っている。その点、2ピース2回法インプラントシステムでは、フィクスチャーとアバットメントの繋ぎ目が骨面の直上に近い歯肉縁下の相当に深い部位にある。そのため、冠のマージンはその深いところにあり、そこから立ち上げることができるため、上部構造が歯肉を貫通する付近では天然歯と比較して遜色のない直径で萠出し、いわゆる審美的なEmergenceProfile を作りやすいということは事実であると思う。よく歯科雑誌にインプラントによる審美補綴と称して、きれいな補綴症例が載っている。しかし、ヒーリングアバットメントをはずした状態や上部構造装着前のフィクスチャーの上面がかろうじて見える写真などでは、まるで急勾配の蟻地獄の底深くにフィクスチャーの上面が見えている感じである。そんな写真を見て、ぞっとするのは私だけであろうか。
2ピース2回法システムでの問題点
2ピース2回法では、顎堤粘膜(歯肉)の厚さそのものが最初からインプラント周囲ポケットとなっているわけで、歯肉の厚さが2~3mmならブラッシングで健康を維持できるが、4~5mmもあれば天然歯でいえば明らかに病的歯周ポケットであり、ブラッシングで健康を維持できる範囲を超えている。一般に下顎の顎堤粘膜に対して上顎の顎堤粘膜は厚く、4~5mmくらいの部位もよくある。そのような部位に植立された2ピース2回法インプラントの上部構造は装着時には審美的かもしれないが、はじめから病的に深いインプラント周囲ポケットを有し、ブラッシングでその後のインプラント周囲の清掃が保てるのか疑問に思ってしまう。
繋ぎ目の位置に規制された上部構造のマージン
顎骨形態やその上を被覆する顎堤粘膜の形態は単純ではない。極めて単純化した理想形態の例として、カマボコ状顎堤という表現があるが、その理想形態の顎骨に2ピース2回法のフィクスチャーが埋入された場合、フクスチャーの上面を近遠心部の顎骨の高さに合わせて埋入すると、唇側と口蓋側ではフィクスチャーの上面が顎骨から唇側と口蓋側に少しはみ出した形になる。2回目の開窓手術でヒーリングアバットメントを着けて周囲の顎堤粘膜が落ち着き、最終補綴に移る頃、顎堤粘膜は近遠心の厚さに比べて、唇側と口蓋側ではカマボコ状顎堤であるため少し薄くなる。2ピース2回法では、冠のマージンが繋ぎ目の位置に規制されるため平らになっているので、近遠心部では必要以上に深くなるという宿命がある。理想的な顎骨形態においてでさえそうなのであるから、実際の臨床の場で、近遠心的あるいは唇口蓋側的に傾斜した顎骨のような三次元的に複雑なバリエーションに対しても、画一的なマージン設定しかできないというのは無理があるように思う。
マイクロギャップの存在というハンディー
また、ミクロの目で見れば、フィクスチャーとアバットメントの間にはマイクロギャップが存在する。フィクスチャーやアバットメントの製品ロット番号ごとのばらつきにより、ピッタリ合いにくいものがあるという話は昔からよく耳にする。いずれにしろ、パーツの繋ぎ目というマイクロギャップは歯周炎の原因となる可能性がある。審美補綴を作りやすい半面、はじめから病的に深いインプラント周囲ポケットの存在と、大なり小なりのマイクロギャップの存在は、2ピースインプラントのアキレス腱とも言えるのではなかろうか。そのため患者に徹底したブラッシングをしてもらい、かつ術者可撤式にして頻回なメインテナンスによってインプラント周囲ポケットを可及的に清潔に保つ必要があるのだと思う。メインテナンスフリーというのはインプラントの場合はあり得ないとしても、2ピースで審美性を維持するにはメインテナンスの手間という代償があまりにも大きすぎる。世の中それについて行ける患者さんばかりではない。ドロップアウトした患者さんの予後はpoorになる可能性も高い。もっとも、徹底したブラッシングを続けるうちに、病的に深いインプラント周囲粘膜は徐々に健康的な厚さに退縮して、ブラッシングで健康を維持できるポケットの深さになってゆくことが多いのではないかと思われる。健康な天然歯の場合、歯肉の自然退縮量は10年間で0.5mmといわれている。インプラントの場合、歯の喪失で一度顎堤粘膜という一種の咀嚼粘膜になった後、インプラントが植立され、天然歯でいう付着歯肉(本当の意味の付着歯肉ではないが)的なインプラント周囲粘膜になるため、自然退縮はさらに大きいはずである。ということは装着当初は審美的であったものも、一部繋ぎ目のマージンが露出したりして審美性にかげりが出てくることが多いのではないかと思う。
1ピース1回法AQBインプラントの審美性
審美性のベースは何といっても骨形態である。歯の喪失後は一般に相当骨吸収が起こる。骨陥凹が少なければそのままでも審美性を確保しやすい。しかし骨陥凹が強い場合、2ピース2回法ではフィクスチャーの埋入と同時にGBR膜を使用した増骨術を行うことができるが、1ピースでは植立前骨移植術の検討が必要となることがある。
インプラントの直径は、天然歯の歯冠歯根移行部の直径と比較してかなり細いため、歯肉縁ギリギリから歯冠が立ち上がったのでは審美性が得られないことは確実である。そこで、天然歯の歯冠修復物のように歯肉縁下まで支台歯形成をして、歯肉縁下にマージンを設定し、そこから冠が立ち上がるようにすれば、審美性が改善することは容易に理解できる。ただし、インプラントの場合は直径が細い分、天然歯の場合より、さらに歯肉縁下の深いところにマージンを設定する必要があり、そこから天然歯にかぶせる冠より強い豊隆度で冠が立ち上がり、歯肉から冠が萠出するレベルで隣在天然歯と遜色のないEmergence Profile が得られれば、審美性の目的は概ね達せられると思われる。
ここで重要な点は、「さらに歯肉縁下の深いところ」といっても、2ピースでの接合部ほど深くなく、歯ブラシやデンタルフロスでインプラント周囲ポケットを患者自身の手で清潔に保てる深さという点である。
![]() 写真2■審美的な冠とは、歯を喪失する前のProfileに近づけること。すなわち、赤の外形線に近づけるには、歯肉縁下まで形成し、そこから歯冠を豊隆させる必要がある。 |
![]() 写真3■作業模型で見ると、天然歯に比べて、いかにインプラントの支台が細いかがわかる。冠のマージンからの豊隆度はこれ位が必要。 |
![]() 写真4■冠の装着時 両隣在天然歯の冠に近いEmergence Profile となっている。 |
無理のない歯肉縁下マージンの設定
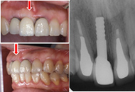
![]() 写真5■上2 顎右側中切歯部の1ピース AQBと冠の装着時(2000/09/02) |
![]() 写真6■同患者の6年7ヵ月後 冠装着時とほとんど変わらぬ審美性を維持している。 |
私は歯肉縁下の形成の深さを、近遠心で0.8~1.0mm、唇側で0.6~0.8mm、口蓋側で0.3~0.4mmを標準としている。もともと支台は細いので、さらに削って細くするのではなく、必要なら少し浸麻をしてライトシャンファーまたは槍状のダイヤモンドバーを使用してインプラント周囲粘膜を形成するつもりで支台歯形成をしている。ジンパックで止血し、そこまでシリコン印象剤で印象し、Finishing Line から近遠心側と唇側でただちに歯冠部を豊隆させ、できるだけ自然に近いEemergence Profile を作ることに尽きるように思われる。また、歯肉縁下までの形成だけでは歯肉縁の Scallop形態の連続性の再現が困難なものは,歯肉切除術のようなSoft Tissue Management が必要となるが、それらにより2ピースに負けない審美性が得られる。そのような審美性の工夫を心がけて治療し経過観察をおこなっているが、大部分の症例で装着時のみならず、経年的にも審美性をほとんど損なうことなく経過している。審美性の問題はインプラントにおいてますます重要な要素になって行くのは間違いない。
紙面の都合で今回はこのくらいにして、1ピースAQBの審美性で私が工夫していることなどを、注意点も含めて続きとして次回述べてみようと思う。
杵渕孝雄先生東京医科歯科大学歯学部卒業。歯学博士。三井記念病院歯科・歯科口腔外科科長、などを経て、現在、杵渕歯科医院 院長。 |







杵渕孝雄先生