Simple is the BestAQBインプラントシステム
■ シンプルインプラント講座 第6回
連続紙上講座【シンプルインプラント講座】第6回目は、
「繋ぎ目の位置に規制されない無理のない審美性」の続編で1ピースAQB の優位性をお伝えします。
今回もシンプルインプラントの提唱者のお一人、杵渕孝雄先生に臨床上のヒントを交えながら論じていただきます。

杵渕歯科医院院長 杵渕孝雄先生
前号に引き続き、「繋ぎ目の位置に規制されない無理のない審美性」というテーマで1ピースAQBの優位性を論じることにする。
無理のない歯肉縁下マージンの設定?
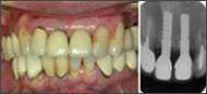
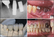
| 審美性考慮前後の比較 |
(7年前頃から審美性を工夫)![]() 右上1は考慮前のもので8Y後、左上1は考慮後のもので6Y 10M後。2005/12/16 |
私は1ピースAQBを植立して17年以上になる。最初の10年近くは口腔清掃性重視で、冠のマージンは歯肉縁ギリギリであった。そのため冠装着後、周囲粘膜が引き締まってくるとチタンの頸部が露出して審美性は劣っていた。当時は口腔清掃性重視からチタンの露出はインプラント補綴の証でもあった。その後インプラントの臨床成績の飛躍的向上にともなって、機能性のみならず審美性も要求されるようになってきた。私もここ7、8年審美性に配慮するようになって、本稿のような工夫で補綴するようになっている。それゆえ1ピースの審美性については、7、8年の予後観察結果で本稿を論じているわけで恐縮の至りではあるが、今後の5年、10年後をさらに経過観察して行きたい。
植立直後の暫間被覆冠装着とその後のブラッシング
審美性の要求される前歯・小臼歯部への植立後は、2ピースならヒーリングキャップにしろヒーリングアバットメントにしろ、その上を義歯によって暫間被覆し、審美性を確保することになるのが一般的である。それに対し1ピースの場合は植立と同時に支台そのものが立つので、直後に印象採得し、大抵は翌日洗浄時に暫間被覆冠を装着することになる。そのため、植立時は初期固定が得られることを最優先にする必要がある。もし植立したAQBの支台方向を少し修正する必要がある場合、模型を形成してカラーマークして暫間被覆冠を作成し、装着前に口腔内でカラーマークに合わせて支台歯を形成して装着する。あくまでも審美目的のためであることを患者さんに理解させ、咬合時ならびに前側方滑走時にも対合歯と咬合接触させないように咬合調整する。また仮着セメントはEZ系のものを使用し、突然の咬合力に対して脱離してインプラントそのものにダメージが加わらないようにする。植立5~7日後に抜糸し、その2~3日後から術後用スーパーソフトブラシでブラッシングを再開してもらい、術後3~4週後には通常のブラシに戻って磨いてもらうのが通例であるが、治癒の具合でそのスケジュールを少し遅らせることもある。1ヵ月後から2ヵ月後の1ヵ月間に徹底的なブラッシングで、インプラント周囲粘膜を引き締め、標準で術後2ヵ月後に形成印象を行い、補綴物の作製を行う。ブラッシングにより暫間被覆冠周囲の粘膜が引き締まり、支台部のチタンが露出するのが普通である。この時期に十分引き締めないで、最終補綴物が入ってから粘膜が引き締まるようでは、後々の経年的歯肉退縮とともに、支台部のチタンの露出量が大きくなり、審美上好ましくない。埋入したインプラントの上をカバーする暫間義歯より、まがりなりにもCr-Br形態の暫間被覆冠が入り、早期に自然なブラッシングができ、周囲粘膜の引き締まりを促し、早期に最終補綴を作りやすいという点では1ピースAQBは優れていると思う。
1ピースでの審美性の工夫
形成印象法や冠のcontour, Emer-gence Profileについては前回述べたので、具体的に経年観察をしている症例を下記に供覧することにする。1ピースでも審美性の工夫で、2ピースに負けない審美性が得られることがわかると思う。しかも無理のない審美性で、もしかしたらより永続性のある審美性が得られるかもしれない。直径3mm症例でも歯肉縁下からの立ち上げでほとんどの場合、審美的に満足できる補綴ができる(3mm症例に関しては、別の回に詳しく述べる予定)。また近心隣在歯が近心傾斜している場合などは、インプラントとその近心の天然歯との間が広くなり、中途半端な歯冠空隙ができやすい。無理なover contourで接触させると頭でっかちで形態的にも好ましくなく、インプラントに負荷がかかり過ぎ、over contour部の清掃性も悪くなる。そんな場合、近心ポンティックや遠心ポンティックを工夫するとよい。また審美性の要求される部位でなければ、むしろ歯冠は接触させず、しっかりと離した方がよい場合もある。
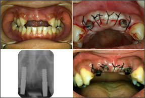
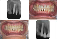
| 1ピースでの審美性の工夫(1) | |
| 植立直後の暫間被覆冠装着とその後のブラッシング | |
![]() ?上顎前歯2~2欠損の右上2,左上2に4LMを植立。植立直後にアルジネート印象を採り、翌日洗浄時までにTekを準備する。 |
![]() ?抜糸の2~3日後から術後用スーパーソフトブラシでブラッシングを再開、術後3~4週後には通常のブラシに戻って磨いてもらう。ブラッシングにより暫間被覆冠周囲の粘膜を十分引き締め、術後2ヵ月後に形成印象を行う。印象後はTek内外面に即重レジンを盛り、最終Crに近いTekの作成を心がける。 |
| 植立3Y後 | 最終TEKとBr装着 |
![]() ?Br装着。2004/08/30 |
![]() Br装着時の審美性を保っている。2007/05/09 |
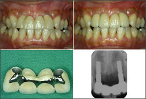
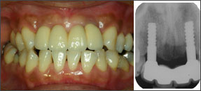
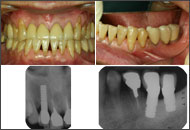
| 1ピースでの審美性の工夫(2) | ||
![]() 1999/10/04 左下6 5SM植立、2000/01/26 左下7 #568植立、2000/8/18 MBCr装着 |
![]() 2001/01/26 右上2 4LM植立、2001/10/31 右上2,右上1,左上1,左上2 MBCr着 |
![]() 2006/08/23 右上2 植立5Y1M後、左下6 植立7Y11M後、左下7 植立6Y7M後、前歯、臼歯共に審美性を保っている。右上2は、右上1,左上1,2などの天然歯と何ら遜色はない。 |
1ピースAQBインプラントでの課題
インプラントの場合、審美性を追求すると清掃性に問題が生じ、逆に清掃性を追求すると審美性は劣ってしまうという二律背反の要素の兼ね合いが重要である。そこで必要な清掃性を確保しつつ、その中でできるだけ審美性を追求することになる。1ピースの場合、2ピースほど冠のマージンが歯肉縁下深くないので口腔清掃上は有利であるが、セメント合着するので、歯肉縁下が深すぎると、余剰セメントの完全除去が困難となり、余剰セメントの残留が原因で慢性インプラント周囲炎を起こし、骨吸収を招くことがあるので注意が必要である。そのためには冠装着後のデンタルX線写真でセメント取り残しのチェックと、6ヵ月後健診でもデンタルX線写真とポケット検査を行うことが重要であると思う。もし、骨吸収やポケットデプスが進み、プロービングで疑わしい場合はフラップを開けてセメント掻爬をやるくらいの勇気が必要と思う。インプラントの近遠心での骨変化はデンタルX線写真に反映するが、唇・口蓋側での初期の骨吸収はX線像に現れないので注意が必要である。私は合着に3Mビトレーマ(グラスアイオノマー系レジンセメント)を使用してきたが、昨年発売になった余剰セメントの一塊除去がし易いというセールスポイントの松風ハイボンドレジグラス(同系統)なども試用している。
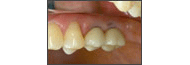
| 1ピースAQBインプラントの課題 | ||
![]() ? 2000/09/01 左上5、左上6 連結MBCr装着時 |
![]() ? その2Y後にみられた残留セメントの褥瘡による頬側粘膜の穿孔(fenestration) |
![]() ? 2005/05/18 粘膜退縮により残留セメントは消失している |
1ピースは素人向けで、審美的な補綴ができないという迷信
審美性の再現のみならず、1ピースはシンプルなため一般臨床医向き、2ピースはスペシャリスト向きと一見思われがちである。確かにそれはある意味ではあたっているが、1ピースを本当に極めるにはかなり高度な口腔外科的な技術を要する。1ピースはシンプルで取り付きやすく、確かに入門者向きである。しかし症例を積んでいくにつれ、1ピースで限界を感じた者はインプラントの適応症をその範囲に限定するか、あるいは2ピースのシステムも併用して適応症を拡大するか、あるいは外科的な技術を駆使して1ピースですべて解決しようとするかのいずれかの道を歩むような気がする。私の場合はその3番目の道を歩んでいるわけであるが。審美性のことに関して書きたいことは尽きないがこの辺にして、次回は「ソケットリフトにおける手術操作性のよさ」というテーマで述べてみようと思う。
杵渕孝雄先生東京医科歯科大学歯学部卒業。歯学博士。三井記念病院歯科・歯科口腔外科科長、などを経て、現在、杵渕歯科医院 院長。 |













杵渕孝雄先生